At McGrath Dental & Implant Clinic we pride ourselves in helping our patients through their journey to a better smile. Take a look at before and after results completed by Matt Parsons, our cosmetic dentist.
If you need to close a gap in your teeth or would like to fix a break or chip, composite bonding is here to help. Unlike crowns or veneers, none of your tooth needs to be removed making composite bonding a minimally invasive yet versatile solution.
Composite veneers can be used to improve the shape and size of your existing teeth. Requiring little or no preparation of your natural teeth composite veneers can be completed in a single visit to our practice.
Veneers are thin laminates of hand-crafted porcelain, bonded to the front surface of your teeth to improve their cosmetic appearance. Porcelain Veneers can be used to change shape, size, colour and position of a tooth.
Case 1
Composite bonding used to close ‘black triangles’ between this patient’s teeth, a common side effect of gum disease.
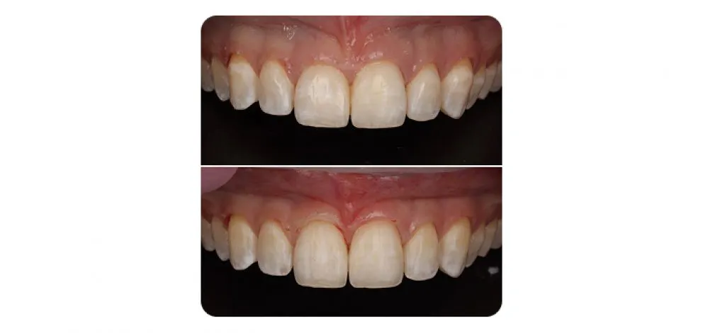
Case 1
Composite bonding used to close ‘black triangles’ between this patient’s teeth, a common side effect of gum disease.
Case 2
Two examples of smiles that were treated using Invisalign clear braces, and some minimal composite bonding to give a natural result.
Case 2
Two examples of fixing fractured teeth using composite bonding in a way that makes sure the repair looks as lifelike as possible.
Case 3
This patient had fractured teeth repaired with composite elsewhere, but was unhappy with the result. We replaced the composites trying to make them as lifelike and natural as possible.
Case 4
Two examples of smiles that were treated using Invisalign clear braces, and some minimal composite bonding to give a natural result.
Case 4
Two examples of smiles that were treated using Invisalign clear braces, and some minimal composite bonding to give a natural result.
Case 5
Minimal, natural composite bonding on four teeth to improve aesthetics after a course of braces, kindly referred to me by a colleague.
Case 1
Composite veneers used to close the spaces in between the teeth, and add volume/lift the shade of the teeth at the patient’s request. This treatment requires no injections and no drilling of the teeth.
Case 2
An example of upper and lower composite veneers used to alter the proportions and colour of this patient’s teeth.
Case 3
Restoring teeth that had suffered from acid wear over the years using composite veneers, without having to remove/drill any more of her teeth away
Case 4
Composite veneers used to correct a ‘cant’ (slanted smile) and to disguise/repair an area of the front tooth where the enamel hadn’t formed properly.
Case 5
Composite veneers used to give more volume, close the spaces and restore the worn teeth, giving a more ‘cosmetic’ result at the patient’s request.
Case 6
Composite veneers used to improve this patient’s smile, in particular improving the appearance of teeth which had discoloured following trauma and root canal in the past.
Case 7
Composite veneers placed to restore wear and correct minor misalignment, placed without any injections and no drilling of the healthy teeth.
Case 1
Left: Old composite veneers (placed elsewhere) in the top image, which we replaced with ultra thin porcelain veneers (bottom ). Right: shows the teeth once the composite was removed (top image) and after we ‘prepared’ the teeth for the veneers (lower image). This case demonstrates how minimal we can be with our veneer preparations and helps to dispel the myth that we have to ‘drill a lot of tooth away’ in order to place porcelain veneers.
Case 1
Left: Old composite veneers (placed elsewhere) in the top image, which we replaced with ultra thin porcelain veneers (bottom ). Right: shows the teeth once the composite was removed (top image) and after we ‘prepared’ the teeth for the veneers (lower image). This case demonstrates how minimal we can be with our veneer preparations and helps to dispel the myth that we have to ‘drill a lot of tooth away’ in order to place porcelain veneers.
Case 2
A combination of porcelain veneers and an implant crown. This patient wanted the result to look as natural as possible.
Case 3
Replacing a set of old porcelain crowns and veneers with a new set, to give more symmetry and to ensure everything matched.
Case 4
A case where we used Inviaslign clear braces to first align the teeth, and then replaced the porcelain veneers on the two front teeth with new veneers that were created to look as natural as possible, and to match the patient’s natural teeth.
Case 5
Two different porcelain veneer cases where the patients each requested a ‘cosmetic’ white shade.
Case 5
Two different porcelain veneer cases where the patients each requested a ‘cosmetic’ white shade.
Case 7
Porcelain veneers used to correct the ‘cant’ (angled smile) making sure to keep the teeth looking/feeling as natural as possible.

Get in touch with our friendly team today to start your smile journey with Matt Parsons.